Innovatieve echografie voor nauwkeurige diagnose
Bij Podozorg Dieren maken we gebruik van geavanceerde echografie om gedetailleerde beelden van spieren en botten te verkrijgen. Deze innovatieve techniek stelt ons in staat om nauwkeurige diagnoses te stellen en de beste behandelingsopties voor onze patiënten te bepalen. Dankzij de moderne beeldvorming kunnen we snel en effectief problemen identificeren, wat leidt tot een efficiëntere en gerichtere behandeling.
Onze echografie-apparatuur biedt niet alleen gedetailleerde beelden, maar is ook veilig en comfortabel voor de patiënt. Hierdoor kunnen we een hoge kwaliteit van zorg garanderen en ervoor zorgen dat onze patiënten zich op hun gemak voelen tijdens het onderzoek.
Gedetailleerde en dynamische visualisatie
Onze echografie biedt beelden die we direct kunnen zien, en die gedetailleerd en bewegend zijn. Deze beelden laten ons zachte weefsels, gewrichten, pezen, ligamenten en botten zelf zien. Dit maakt het een waardevolle aanvulling op ons medisch onderzoek en helpt ons om snel en effectief de juiste diagnose te stellen.
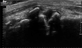
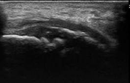
Voorbeelden van echobeelden
Gewrichtsartrose

Bij gewrichtsartrose slijt het kraakbeen in het gewricht, waardoor de botdelen dichter op elkaar komen te staan en irritatie kan ontstaan. Met echografie kunnen wij veranderingen aan het gewrichtskapsel, de omliggende weefsels en eventuele ontstekingsreacties goed zichtbaar maken. Zo krijgen we een duidelijk beeld van de mate van artrose en welke structuren hierdoor worden beïnvloed.
Problemen met een breukje in een bot

Een klein breukje (stressfractuur of scheurtje) in een bot kan flinke pijn veroorzaken, ook als het op een gewone röntgenfoto nog niet goed zichtbaar is. Met echografie kunnen wij veranderingen rond het bot beoordelen, zoals zwelling, vocht of een onderbreking in het botoppervlak. Zo krijgen we snel duidelijkheid over de plek en ernst van het letsel en kunnen we uitleg geven over passende vervolgstappen.
Kinder-echo van Sever Schinz (apofysitis calcanei)

Sever-Schinzpijn, ook wel apofysitis calcanei, is een groeipijn aan de achterkant van het hielbeen die vaak voorkomt bij actieve kinderen. De plek waar de achillespees aan het hielbeen hecht, raakt hierbij gevoelig en geïrriteerd. Met echografie kunnen wij goed zien of deze groeischijf ontstoken is en of er sprake is van overbelasting. Zo kunnen we een kindvriendelijk en passend advies geven om de klachten te verminderen.
Uw gezondheid, onze prioriteit
Bij Podozorg Dieren staat uw gezondheid voorop. Dankzij onze geavanceerde echografietechnieken kunnen wij u de best mogelijke zorg bieden. U kunt bij ons rekenen op een professionele en persoonlijke benadering, waarbij wij altijd streven naar de hoogste kwaliteit van zorg.
Voordelen van echografie
- Geen straling (geen gebruik van röntgenstralen)
- Dynamische beeldvorming (bewegende beelden)
- Directe resultaten (onmiddellijke uitslagen)
- Mogelijkheid om interventies te begeleiden (ondersteuning bij medische ingrepen)
Beperkingen van echografie
Hoewel echografie vele voordelen biedt, zijn er ook enkele beperkingen. De nauwkeurigheid is afhankelijk van de persoon die de echografie uitvoert en de techniek heeft een beperkte mogelijkheid om diepe of complexe botstructuren zichtbaar te maken in vergelijking met MRI.
Echografie: een krachtig diagnostisch hulpmiddel
Echografie met beelden van spieren en botten is een krachtig, veilig en veelzijdig hulpmiddel in de podotherapeutische diagnostiek. Deze techniek verbetert de nauwkeurigheid van medische beoordelingen, helpt bij het vroegtijdig opsporen van ziekten en ondersteunt zowel de diagnose als de behandeling van voet- en enkelproblemen. Bij Podozorg Dieren zetten wij ons in om u de best mogelijke zorg te bieden met behulp van onze geavanceerde echografietechnieken. U kunt bij ons rekenen op een professionele en persoonlijke benadering.
De voordelen van echografie bij Podozorg Dieren
Verbeterde diagnostische nauwkeurigheid
Musculoskeletale echografie biedt tal van voordelen in de podotherapie. Deze techniek stelt ons in staat om voet- en enkelpathologieën nauwkeurig en direct zichtbaar vast te stellen. Dit helpt ons enorm bij het opstellen van gerichte behandelplannen. Het verhoogt de diagnostische nauwkeurigheid en ondersteunt een efficiënte patiëntenzorg.
Efficiëntie en toegankelijkheid
Onze echografie vermindert wachttijden en stroomlijnt de patiëntenzorg door directe beeldvorming op de zorglocatie te bieden. Dit maakt het mogelijk om snel en effectief te handelen, wat de algehele efficiëntie van de zorg verbetert.
Uitleg en betrokkenheid van de patiënt
Met echografie kunnen wij diagnoses visueel aan onze patiënten uitleggen, wat hun begrip en betrokkenheid bij de behandeling vergroot. Dit helpt patiënten om beter geïnformeerd en meer betrokken te zijn bij hun eigen zorgproces.
Ondersteuning bij interventies
Echografie helpt ons bij het begeleiden van procedures zoals injecties en wondbeoordelingen, wat de veiligheid en effectiviteit van deze interventies verhoogt.
Kosteneffectiviteit en veiligheid
Echografie biedt een kosteneffectief en stralingsvrij alternatief voor andere beeldvormingstechnieken, waardoor het geschikt is voor herhaald gebruik. Dit maakt het een veilige keuze voor onze patiënten.
Veelzijdigheid
Onze echografie is veelzijdig en nuttig voor het diagnosticeren van een breed scala aan aandoeningen, waaronder weke delen letsels, gewrichtsproblemen en diabetische voetwonden.
Extra inzichten
Musculoskeletale echografie wordt vaak gebruikt door podotherapeuten voor het diagnosticeren van letsels, het ondersteunen van revalidatie en het begeleiden van interventies. Dit leidt tot meer gerichte en effectieve behandelplannen. De technologie is vooral waardevol bij wondzorg, zoals het evalueren van diabetische voetulcera, waar het gedetailleerde informatie biedt die verder gaat dan visuele inspectie. De draagbaarheid en snelle resultaten maken het ideaal voor gebruik in privépraktijken, wat bijdraagt aan de groeiende acceptatie onder podotherapeuten.
Wanneer wordt een echo gemaakt?
Bij Podozorg Dieren maken wij gebruik van musculoskeletale echografie (MSK US) om een breed scala aan voet- en enkelproblemen te diagnosticeren en te behandelen. Deze techniek is vooral nuttig wanneer gedetailleerde, real-time beeldvorming van zachte weefsels, gewrichten en bepaalde botstructuren nodig is om klinische beslissingen te ondersteunen, interventies te begeleiden of de voortgang van de behandeling te monitoren. Wij gebruiken echografie in de volgende situaties:
- Wanneer het klinisch onderzoek niet doorslaggevend is en verdere beeldvorming nodig is om de diagnose te verduidelijken.
- Om een vermoedelijke diagnose van aandoeningen aan spieren en botten in de voet of enkel te bevestigen of te verfijnen.
- Tijdens of voor interventies zoals injecties of weke delen mobilisatie, om nauwkeurigheid en veiligheid te waarborgen.
- Voor het regelmatig controleren van chronische aandoeningen of genezingsvoortgang, vooral in complexe gevallen zoals diabetische voetwonden.
- Om patiënten te informeren en te betrekken door pathologie en behandelvoortgang visueel te demonstreren.
Bij Podozorg Dieren zetten wij ons in om u de best mogelijke zorg te bieden met behulp van onze geavanceerde echografietechnieken. U kunt bij ons rekenen op een professionele en persoonlijke benadering.
Toepassingsgebieden van echografie
- Diagnose van pathologieën: Het identificeren van weke delen letsels zoals fasciitis plantaris, peesscheuren, gewrichtsontstekingen, bursitis en jicht.
- Ondersteuning van revalidatie: Het monitoren van weefselherstel en het begeleiden van revalidatieprogramma's.
- Begeleiding van interventies: Het assisteren bij de nauwkeurige plaatsing van injecties, zenuwblokkades of weke delen mobilisatie.
- Beoordeling van diabetische voetwonden: Het evalueren van de diepte van wonden, de kwaliteit van weefsels en de betrokkenheid van botten bij diabetische voetulcera.
- Behandelplanning en aanpassing: Het bevestigen of aanpassen van behandelplannen op basis van beeldvormingsbevindingen.
- Onderzoek en educatie: Gebruikt in klinisch onderzoek en voor trainingsdoeleinden.
Is echografie veilig?
Bij Podozorg Dieren beschouwen wij musculoskeletale echografie (beelden van spieren en botten) als zeer veilig voor diagnostisch gebruik in de klinische praktijk. Deze niet-invasieve en stralingsvrije beeldvormingstechniek heeft een sterke staat van dienst op het gebied van veiligheid, waardoor het geschikt is voor herhaald gebruik en een voorkeursoptie voor veel musculoskeletale beoordelingen.
Veiligheidsoverwegingen en beperkingen
De belangrijkste veiligheidszorg komt niet van de technologie zelf, maar van mogelijke fouten door onvoldoende getrainde operators, vooral tijdens interventionele procedures. Een goede opleiding en naleving van richtlijnen zijn essentieel om risico's te minimaliseren. Het ontbreken van straling maakt MSK US bijzonder geschikt voor kinderen, zwangere patiënten en degenen die meerdere vervolgscans nodig hebben.
Bij Podozorg Dieren zetten wij ons in om u de best mogelijke zorg te bieden met behulp van onze geavanceerde echografietechnieken. U kunt bij ons rekenen op een professionele en persoonlijke benadering.
Wie mag echografie uitvoeren in Nederland?
Wie is gekwalificeerd om MSK echografie uit te voeren?
In Nederland, net als in veel andere Europese landen, kunnen podotherapeuten en huisartsen MSK echografie uitvoeren als zij de juiste training hebben voltooid. Er is geen universele, door de overheid opgelegde certificering, maar formele training is gebruikelijk en vereist door Podozorg Nederland.
Training en certificeringseisen
De behandelaars werkzaam bij ‘Podozorg” hebben allemaal een formele echografietraining voltooid, die zowel theoretische als praktische componenten omvat. Hoewel er geen nationale certificering is, vereist Podozorg Nederland wel certificering voor de praktijk. Veelvoorkomende barrières voor het verkrijgen van training en certificering zijn tijdgebrek, toegang tot training en financiële aspecten. Voortdurende educatie en kwaliteitsborging zijn bij Podozorg verplicht om de competentie te behouden.
Vergoeding van echografie bij Podozorg Dieren
Bij Podozorg Dieren valt een echografisch onderzoek onder de zorg die wij als podologen bieden. Vrijwel alle zorgverzekeringen in Nederland vergoeden dit onderzoek (gedeeltelijk) in hun (aanvullende) zorgverzekeringspakket. Wij raden u aan om vooraf bij uw zorgverzekering te informeren naar de specifieke vergoedingen die voor u gelden. Onze echografisten kunnen u hier ook meer over vertellen en u verder helpen met eventuele vragen.
Welke aandoeningen zijn goed te zien met een echografie?
Musculoskeletale echografie in de podotherapie
Musculoskeletale echografie in de podotherapie is zeer effectief voor het diagnosticeren van een breed spectrum aan voet- en enkelproblemen, waaronder weke delen letsels, ligament- en gewrichtsaandoeningen, vasculaire problemen, botstressblessures en ontstekingsziekten. De real-time, niet-invasieve beeldvorming ondersteunt tijdige en nauwkeurige klinische besluitvorming.
Echografie voor nauwkeurige diagnose
Bij Podozorg Dieren maken wij gebruik van musculoskeletale echografie (MSK US) om een breed scala aan voet- en enkelproblemen te detecteren. Wij zetten echografie in voor het identificeren van weke delen, gewrichten, vasculaire en sommige botpathologieën, wat een nauwkeurige diagnose en behandeling in de podotherapie ondersteunt.
Veelvoorkomende aandoeningen die zichtbaar zijn met echografie
- Weke delen pathologieën: Plantaire fasciitis, peesscheuren (bijv. Achillespees, peroneus pezen), tenosynovitis, paratenonitis, Morton’s neuroom.
- Ligament-(band-) en gewrichtsaandoeningen: Enkelverstuikingen, ligament (band-) scheuren, synovitis, artrose, plantaire plaat scheur, gewrichtsinstabiliteit.
- Vasculaire aandoeningen: Spataderen, tromboflebitis, diepe veneuze trombose (DVT), lipoedeem en pitting oedeem.
- Bot- en stressblessures: Stressfracturen, boterosie, Ziekte van Freiberg, avasculaire necrose, metatarsalgie.
- Vroege herkenning van artrose in de voet en of de enkel: Kenmerken van vochtuitstortingen (effusie), verdikking van gewrichtskapsel, synoviale proliferaties en tekenen van ontsteking (hypervascularisaties).
- Zenuwaandoeningen: Lokale verdikkingen zoals neuroom en Schwannoom, maar ook myelinitis, intraneuraal oedeem en cyste vorming in een zenuw.
- Tarsale tunnelsyndroom: met herkenning van ruimte innemende processen en compressie op de zenuw.
- Ontstekings-/reumatische ziekten: Vroege detectie van gewrichtsontstekingen en verdikkingen, peesontsteking en aanhechtingsontsteking (enthesitis), subklinische kenmerken.
- Vreemde voorwerpen: Detectie van binnengedrongen vreemde objecten zoals houtsplinters, glassplinters, een doorn, stekel, binnengedrongen haren of schelpstukjes.
Literatuurlijst
Gebruikte onderzoeken en bronnen
- Bianchi, S., & Martinoli, C. (2013). Pathology of the forefoot. In S. Bianchi & C. Martinoli (Eds.), Ultrasound of the musculoskeletal system (pp. 868-885). Springer.
- Brasseur, J. L., & Sans, N. (2004). La place de l'échographie dans les syndromes compressifs du membre supérieur. Chirurgie de la Main, 23(Supplement 1), S27-S34.
- Dando, C., Ellis, R., Carroll, M., Molyneux, P., Gijon-Nogueron, G., Siddle, H. J., ... & Bowen, C. (2021). Exploring the use of musculoskeletal ultrasound imaging by podiatrists: an international survey. Journal of Foot and Ankle Research, 14(1), 39.
- Dando, C., Lane, G., Bowen, C., & Henshaw, F. (2022). The evaluation of podiatrists, with knowledge and training in diagnostic musculoskeletal ultrasound, to describe sonographic images of diabetic foot wounds in the United Kingdom and Australia. Journal of Foot and Ankle Research, 15(1), 5.
- Fowler, J. R. (2025). The use of musculoskeletal ultrasound for diagnosis of peripheral nerve compression syndromes. The Journal of Hand Surgery, 50(4), 481-490.
- Gessl, I., Balint, P. V., Filippucci, E., Keen, H. I., Pineda, C., Terslev, L., ... & Mandl, P. (2021, June). Structural damage in rheumatoid arthritis assessed by musculoskeletal ultrasound: A systematic literature review by the Structural Joint Damage Task Force of the OMERACT Ultrasound Working Group. Seminars in Arthritis and Rheumatism, 51(3), 627-639.
- Gregg, J. M., Schneider, T., & Marks, P. (2008). MR imaging and ultrasound of metatarsalgia—The lesser metatarsals. Radiologic Clinics of North America, 46(6), 1061-1078.
- Hashefi, M. (2011). Ultrasound in the diagnosis of noninflammatory musculoskeletal conditions. Seminars in Ultrasound, CT and MRI, 32(2), 74-90.
- Henderson, R. E., Walker, B. F., & Young, K. J. (2015). The accuracy of diagnostic ultrasound imaging for musculoskeletal soft tissue pathology of the extremities: a comprehensive review of the literature. Chiropractic & Manual Therapies, 23(1), 31.
- Iagnocco, A. (2010). Imaging the joint in osteoarthritis: a place for ultrasound? Best Practice & Research Clinical Rheumatology, 24, 27-38.
- Iagnocco, A., Ceccarelli, F., Perricone, C., & Valesini, G. (2011). The role of ultrasound in rheumatology. Seminars in Ultrasound, CT and MRI, 32(2), 66-73.
- Kamel, M., Eid, H., & Mansour, R. (2003). Ultrasound detection of heel enthesitis: a comparison with magnetic resonance imaging. The Journal of Rheumatology, 30(4), 774-778.
- Koppikar, S., Diaz, P., Kaeley, G. S., & Eder, L. (2023). Seeing is believing: Smart use of musculoskeletal ultrasound in rheumatology practice. Best Practice & Research Clinical Rheumatology, 37(1), 101850.
- Kotnis, N., Harish, S., & Popowich, T. (2011). Medial ankle and heel: ultrasound evaluation and sonographic appearances of conditions causing symptoms. Seminars in Ultrasound, CT and MRI, 32(2), 125-141.
- Micu, M. C., Nestorova, R., Petranova, T., Porta, F., Radunovic, G., Vlad, V., & Iagnocco, A. (2012). Ultrasound of the ankle and foot in rheumatology. Medical Ultrasonography, 14(1), 34-41.
- Nelson, A. E. (2020). Turning the page in osteoarthritis assessment with the use of ultrasound. Current Rheumatology Reports, 22(10), 66.
- Özçakar, L., Kara, M., Chang, K. V., Çarl, A. B., Akkaya, N., Tok, F., ... & De Muynck, M. (2015). Nineteen reasons why physiatrists should do musculoskeletal ultrasound: EURO-MUSCULUS/USPRM recommendations. American Journal of Physical Medicine & Rehabilitation, 94(6), e45-e49.
- Patakioutis, K., Dedes, V., Dede, A., Perrea, A., Fortis, A., & Panoutsopoulos, G. I. (2020). The value of diagnostic ultrasound in the diagnosis of musculoskeletal disorders. International Journal of Physical Education, Sports and Health, 7(5), 199-203.
- Patil, P., & Dasgupta, B. (2012). Role of diagnostic ultrasound in the assessment of musculoskeletal diseases. Therapeutic Advances in Musculoskeletal Disease, 4(5), 341-355.
- Rawool, N. M., & Nazarian, L. N. (2000). Ultrasound of the ankle and foot. Seminars in Ultrasound, CT and MRI, 21(3), 275-284.
- Rezaei, H., Torp-Pedersen, S., af Klint, E., Backheden, M., Kisten, Y., Györi, N., & van Vollenhoven, R. F. (2014). Diagnostic utility of musculoskeletal ultrasound in patients with suspected arthritis–a probabilistic approach. Arthritis Research & Therapy, 16(5), 448.
- Resnyk, J., & Weichold, A. (2024). Barriers to learning and performing point-of-care ultrasound (POCUS): An integrative review. Journal of Professional Nursing, 54, 54-62.
- Sahr, M. E., Grünebaum, A., Positano, R. C., Nwawka, O. K., Chervenak, F. A., & Positano, R. G. (2024). Common foot and ankle disorders in pregnancy: the role of diagnostic ultrasound. Journal of Perinatal Medicine, 52(7), 674-687.
- Sconfienza, L. M., Albano, D., Allen, G., Bazzocchi, A., Bignotti, B., Chianca, V., ... & Tagliafico, A. S. (2018). Clinical indications for musculoskeletal ultrasound updated in 2017 by European Society of Musculoskeletal Radiology (ESSR) consensus. European Radiology, 28(12), 5338-5351.
- Van de Putte, P., Vernieuwe, L., Bouchez, S., Deen, J., Schols, G., Calle, B., ... & Rex, S. (2023). Expert recommendations on education, training and certification in perioperative point-of-care ultrasound in Belgium (BePOCUS). Acta Anaesthesiologica Belgica, 74(1), 7-12.
- Vlychou, M., Koutroumpas, A., Malizos, K., & Sakkast, L. I. (2009). Ultrasonographic evidence of inflammation is frequent in hands of patients with erosive osteoarthritis. Osteoarthritis and Cartilage, 17, 1283-1287.
- Zhang, P., Li, D., & Li, D. (2025). Value of semi-quantitative scoring based on musculoskeletal ultrasound in diagnosis and disease assessment of gouty arthritis. Clinical and Experimental Medicine, 25(1), 56.



